أعلنت السلطات الصحية الروسية تسجيل أول حالة مؤكدة لمرض EVALI المعروف بمرض «الفشار» في البلاد (وهو إصابة الرئة المرتبطة باستخدام السجائر الإلكترونية)، لمراهق من مدينة تومسك بغرب سيبيريا، وأثارت الحالة التي تم تشخيصها أخيرا، قلقًا متزايدًا حول مخاطر التدخين الإلكتروني، خصوصا بين الشباب، في ظل انتشار هذه العادة بين المراهقين في روسيا والعالم.
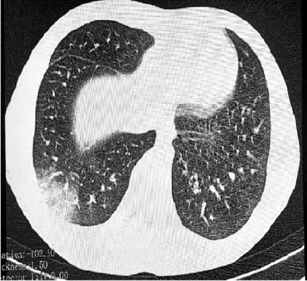
مرض «EVALI» هو حالة طبية حادة تم توثيقها لأول مرة في الولايات المتحدة عام 2019، ويطلق عليه أحيانا «رئة الفشار» بسبب تشابه أعراضه مع مرض التهاب القصيبات المسدة، الذي كان يصيب عمال مصانع الفشار بسبب استنشاق مادة الدياسيتيل الكيميائية المستخدمة في النكهات.
ووفقًا لتقرير صادر عن هيئة حماية حقوق المستهلك الروسية «روسبوتريبنادزور»، تم تشخيص المراهق، الذي لم يُكشف عن هويته، بمرض EVALI بعد معاناته من أعراض تنفسية حادة، شملت ضيقًا في التنفس، وسعالًا مستمرًا وآلامًا في الصدر، وبعد الفحوصات الطبية تبين أن الإصابة مرتبطة مباشرة باستخدامه المنتظم للسجائر الإلكترونية «الفيب» وخصوصا تلك التي تحتوي على نكهات متنوعة. وأشار الأطباء إلى أن حالته تشمل التهاب القصيبات المسدة، وهي حالة رئوية خطيرة قد تؤدي إلى ضرر دائم في الرئتين.
وتم نقل المراهق إلى أحد مستشفيات تومسك لتلقي العلاج، حيث يخضع حاليًا للرعاية الطبية المكثفة، في حين أكدت التقارير أن الشاب كان من المدخنين الشرهين للسجائر الإلكترونية، مما يسلط الضوء على المخاطر المحتملة للاستخدام المفرط لهذه المنتجات.
وأصدرت هيئة «روسبوتريبنادزور» بيانًا رسميًا أكدت فيه أن هذه الحالة هي الأولى من نوعها في روسيا، محذرة من تزايد شعبية السجائر الإلكترونية بين الشباب وما يرتبط بها من مخاطر صحية، وجاء في البيان: «مرض EVALI يمثل تهديدا خطيرا على الصحة العامة، ونحث الآباء والمراهقين على إدراك المخاطر المرتبطة باستخدام هذه المنتجات، خصوصا تلك التي تحتوي على مواد كيميائية ونكهات غير منظمة».
كما دعا المسؤولين إلى تشديد الرقابة على بيع السجائر الإلكترونية، خصوصا للقاصرين، مشيرين إلى أن الحالة قد تكون «ناقوس خطر» لإعادة تقييم السياسات المتعلقة بهذه المنتجات في روسيا، وأضاف البيان أن السلطات الصحية ستعمل على تكثيف حملات التوعية لتسليط الضوء على المخاطر المحتملة للتدخين الإلكتروني.
من جانبها، أشارت السلطات الطبية في تومسك إلى أنها تعمل على تحليل المواد المستخدمة في السجائر الإلكترونية التي استخدمها المراهق، لتحديد ما إذا كانت تحتوي على مواد كيميائية ضارة مثل أسيتات الفيتامين E، التي رُبطت بحالات EVALI في دول أخرى.

