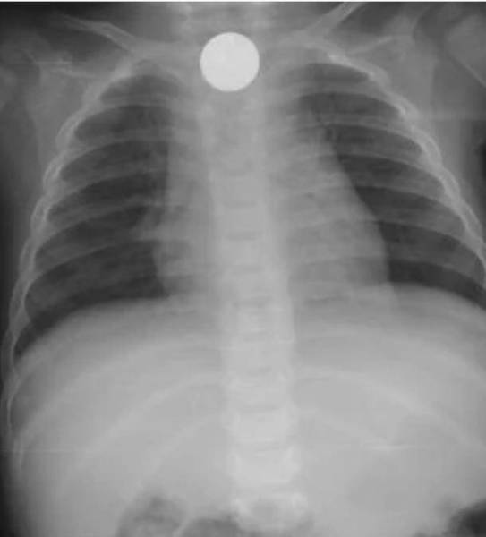
نجح فريق طبي بمستشفى المهد العام، من استخراج قطعة معدنية، من أعلى مريء طفل يبلغ من العمر 6 سنوات، في عملية استغرقت 4 دقائق فقط.
وأوضح الفريق الطبي، أن الطفل قدِم لطوارئ المستشفى وهو يشتكي من بلع جسم غريب (قطعة نقود معدنية)، كانت قد عَلِقت في أعلى المريء، ما تَسَبّب في اختناق وعدم القدرة على البلع، عندها قرر الفريق الطبي إجراء عملية عاجلة، واتضح أنها قطعة معدنية نقدية فئة «ريال»، مضيفاً: «تمت العملية بنجاح ودون حدوث مضاعفات ولله الحمد، حيث غادر الطفل المستشفى وهو بصحة جيدة».
يذكر أن مستشفى المهد العام سعته السريرية 50 سريرا، ويقدم خدمات الرعاية الصحية العلاجية والتثقيفية لأكثر من 70 ألف نسمة بمعدل نمو سكاني يقدر بـ2.45%، ودشنت إدارة المجمع الصحي بالمحافظة خلال العام 1440 «برنامج التحول الإلكتروني»، الذي يهدف إلى تسهيل وصول الخدمة الطبية للمريض، وتوجيهه للمستوى الأمثل من الخدمة، ابتداء من مراكز الرعاية الصحية الأولية، كما يقدم للمريض فرصة الحصول على الخدمة الطبية المتكاملة، من خلال تسهيل آلية إحالته إلى المستشفيات المرجعية والتخصصية وتأمين الخدمة المطلوبة في وقت قياسي.