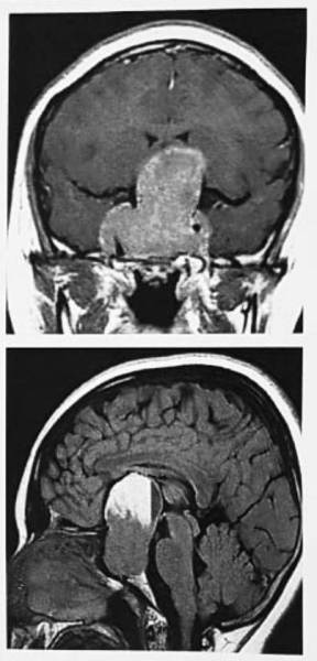
استعادت فتاة مصرية في الـ16 من العمر، بصرها، وذلك بعد أن نجح فريق متخصص من مركز العلوم العصبية بمدينة الملك عبدالله الطبية بالعاصمة المقدسة في إجراء عملية جراحية لقاع الجمجمة تم فيها استئصال ورم نازف في الغدة النخامية عن طريق الأنف وبالمنظار الجراحي من فتحة بمقدار 1 سم.
وأوضحت الإدارة الطبية أن المريضة أحيلت إلى مركز العلوم العصبية بالمدينة الطبية بعد فقدان شبه كامل للإبصار في العين اليسرى وضعف شديد في العين اليمنى بسبب وجود ورم ضخم ونازف في الدماغ في الغدة النخامية وضاغط على أعصاب العين، وتم التعامل معها في وقت وجيز والاستعانة بكافة الفرق الطبية من استشاريي جراحة مناظير الأنف والجيوب الأنفية وتخدير الأعصاب وطب العيون والغدد الصماء والعناية الحرجة وجراحي المخ والأعصاب.
وأجريت كافة الفحوص اللازمة من قبل استشاريي أشعة الأعصاب، حيث أجرى الفريق الطبي تدخلا جراحيا عاجلا من فريق مكون من استشاري جراحة المخ والأعصاب وقاع الجمجمة الدكتور محمد غازي عبده واستشاري جراحة الأنف والأذن والحنجرة الدكتور إسلام حرز الله، حيث تم استئصال الورم وتخفيف الضغط عن عصب العين في عملية استغرقت 7 ساعات تكللت بالنجاح التام.
وتماثلت المريضة للشفاء تدريجيا حيث تحسنت قدرتها على الإبصار مباشرة، وتستكمل علاجها الطبي والدوائي تحت إشراف من استشارية الغدد الصماء وأورام الغدة النخامية الدكتورة دلال المحمادي.

