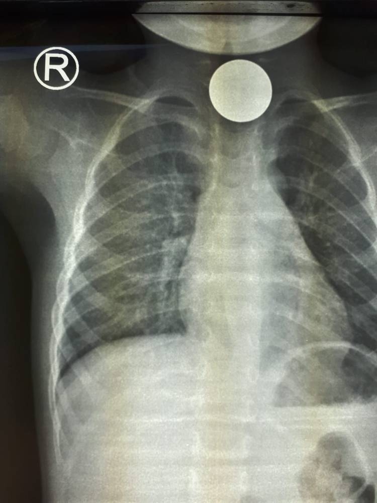
استخرج فريق طبي بمستشفى رابغ العام قطعة معدنية من بلعوم طفل يبلغ من العمر عامين خلال عملية لم تستغرق أكثر من 10 دقائق.
وأوضحت «صحة جدة» أن الطفل قَدِم إلى طوارئ المستشفى وهو يشكو ابتلاع جسم غريب (قطعة نقود معدنية) كانت قد علقت في منطقة البلعوم؛ مما تسبب في اختناق وعدم قدرة على البلع؛ إذ قرر الطاقم الطبي إجراء عملية عاجلة بالمنظار لإزالة الجسم الغريب، إذ تبين وجود قطعة معدنية نقدية، وقد كُللت العملية بالنجاح دون حدوث مضاعفات، وغادر الطفل المستشفى وهو بصحة جيدة.


