في واقعة نادرة، اكتشف أطباء مصريون وجود رأس وعظم لجنين داخل بطن مولود أثناء ولادة سيدة بمحافظة الشرقية، دون أن يتأثر المولود في وظائفه الحيوية طوال فترة اكتمال جسمه، داخل بطن الأم.

ونقلت صحيفة الوطن المصرية عن أستاذ مساعد نساء وتوليد في جامعة الزقازيق رئيس الفريق الطبي للعملية الدكتور عمرو عبدالمحسن، قوله إن سيدة تبلغ من العمر 27 عاما، حضرت إلى عيادته، أثناء حملها في الشهر الـ7، ومن خلال الكشف عليها بالسونار، تبين وجود أنسجة غريبة داخل جسم الجنين، مضيفا: «خضعت لأشعة ثلاثية الأبعاد، وأظهرت انتفاخا وسوائل داخل جسم الجنين».

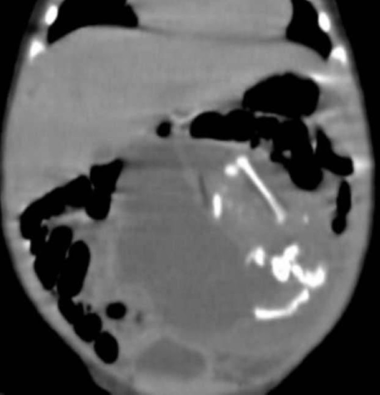
وتابع: «تمت ولادة الطفل بعملية قيصرية، ودخل الحضانة وخضع لسونار وأشعة مقطعية، وتبين وجود عظم ورأس داخل بطن المولود، واكتشفنا أنهما كانا لجنين آخر لم يكتمل، توفي في الشهر الثاني، والتصقت عظامه ورأسه بالجنين المكتمل، ودخل في بطنه».

وأشار رئيس الفريق الطبي للعملية إلى أنه على الفور بعد قضاء المولود يومين في الحضانة، بأحد المستشفيات الخاصة، تم إجراء جراحة استخراج وتنظيف لبطنه، واستخراج العظم وبقايا الرأس.