تمكن فريق طبي من قسم جراحة المخ والأعصاب بمستشفى الملك عبدالعزيز من إنقاذ حياة حاجة باكستانية تبلغ من العمر ٦٥عاماً من الوفاة الدماغية وتمكينها من صعود قافلة الحجاج للوقوف بعرفات وإتمام النسك.
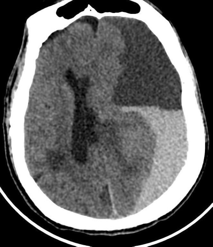
وبين رئيس الفريق الطبي استشاري جراحة المخ والأعصاب الدكتور زهير هوساوي أن المريضة حضرت إلى قسم الطوارئ وهي بغيبوبة كاملة وصعوبة في التنفس، وبشكل عاجل تم عمل الفحوصات الطبية اللازمة والأشعة وتبين وجود نزيف دماغي ضخم ضاغط على الدماغ، على إثره تقرر ضرورة نقل المريضة الى غرفة العمليات والتدخل الجراحي، مشيراً إلى أنه تم خلال العملية فتح الجمجمة وإيقاف النزيف، وتكللت العملية بالنجاح، وبعد ذلك نقلت المريضة للعناية المركزة ثم إلى قسم جراحة المخ والأعصاب، وتم بعد ذلك خروج المريضة من المستشفى وهي بصحة جيدة.

