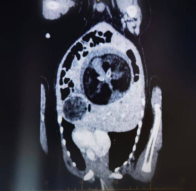
في حالة طبية نادرة، استأصل جراحو الأطفال بالمستشفى السلطاني بالعاصمة العمانية مسقط، جنينا من داخل بطن طفل ولد قبل 8 أشهر، وحين لوحظ انتفاخ بطنه بشكل غير طبيعي، كشفت الفحوصات أنه يحمل جنيناً مذ كان في رحم أمه. ووفق وكالة الأنباء العمانية (الأحد) وصف قائد الفريق الطبي رئيس قسم الجراحة الدكتور محمد الساجواني العملية الجراحية بالنادرة، كونها تتم في ظروف استثنائية. وقال: «بعد 3 أيام من الاستئصال تحققنا من الفحوصات والمؤشرات التي أثبتت نجاح هذه العملية النوعية. وتعرف هذه الظاهرة الطبية النادرة بـFetus in Feto، وتحدث بنسبة 1 بين كل 500 ألف حالة ولادة حية على مستوى العالم».