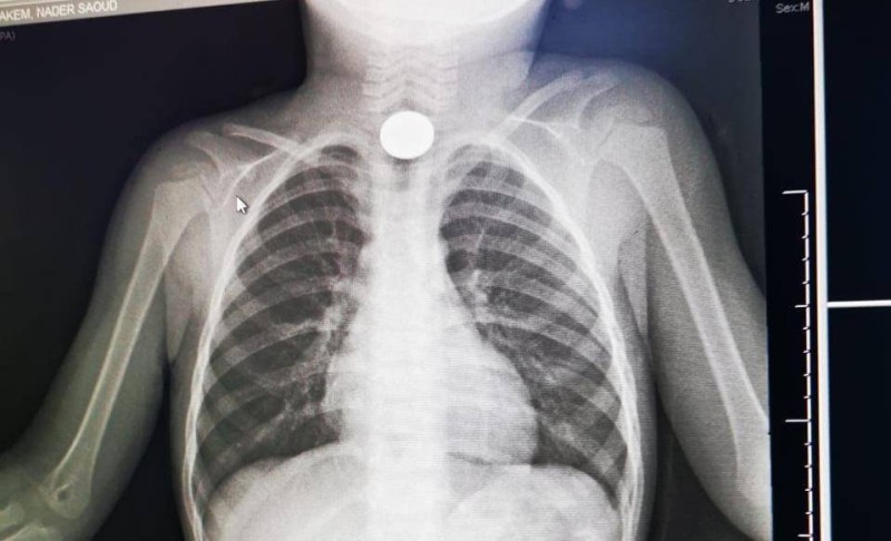
نجح فريق طبي متخصص بمستشفى القريات العام في استخراج جسم معدني في أعلى المريء لطفلة تبلغ من العمر 3 سنوات، تبين بعد إجراء التحاليل والأشعة اللازمة، ما استدعى اتخاذ قرار بالتدخل واستخراجه بواسطة المنظار.
وأوضحت صحة القريات أن الجسم عبارة عن «عملة معدنية» أعلى المريء، حيث تم استخراجه والطفلة حالياً بحالة صحية جيدة.
