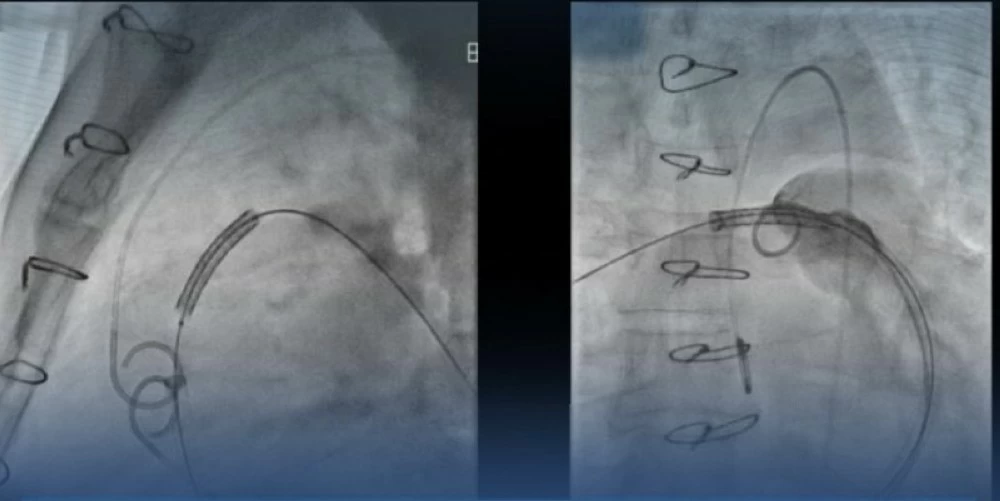
سجّل التجمع الصحي في منطقة حائل إنجازاً طبياً جديداً بعد نجاح تركيب أول صمام رئوي عبر القسطرة في المناطق الشمالية في مستشفى الملك سلمان التخصصي، ضمن عملية قادها استشاري القلب والقسطرة ومشرف مسار القلب في تجمع حائل الصحي الدكتور نايف الغصاب، بمشاركة طاقم سعودي متخصص في جراحات القلب التداخلية.
وقال الدكتور الغصاب: بحمد الله، نجحنا في تركيب أول صمام رئوي في المناطق الشمالية لعلاج تضيق وارتجاع الصمام الرئوي. تمثل هذه الخطوة نقلة نوعية في نجاح التجمع الصحي في رعاية مرضى العيوب الهيكلية وصمامات القلب. هذا التطور يعكس حرص حكومتنا الرشيدة لدعم توفير خدمات علاجية مميزة للمواطن.
العملية جاءت بجهود فريق محلي مؤهل في التخدير والأشعة والتمريض التداخلي، ما يؤكد قدرة الكفاءات السعودية على قيادة الإجراءات عالية الدقة.
ويعمل المستشفى على استقطاب الأطباء الاستشاريين السعوديين، خصوصاً أبناء المنطقة، في خطوة تهدف إلى إقفال فجوة هجرة العقول، وإعادة الخبرات التي خدمت لسنوات في مراكز دولية مرجعية.
هذا التطور يأتي امتداداً للرؤية التي يدعمها أمير منطقة حائل الأمير عبدالعزيز بن سعد، الهادف إلى ترسيخ موقع مستشفى الملك سلمان التخصصي كإحدى أعرق المؤسسات الطبية الضخمة في شمال المملكة، عبر تمكين التخصصات الدقيقة، وتوسيع الخدمات التداخلية، وتحويل حائل إلى مركز إقليمي للرعاية القلبية المتقدمة.
أجريت العملية باستخدام تصوير متقدم ودعامات عالية الضغط تضمن الدقة والنتائج المثالية، ليعزز هذا النجاح مكانة مركز القلب كوجهة علاجية رائدة في أمراض العيوب الهيكلية وصمامات القلب.
The health cluster in the Hail region has achieved a new medical milestone after successfully implanting the first pulmonary valve via catheterization in the northern regions at King Salman Specialized Hospital, as part of a procedure led by cardiology and catheterization consultant and cardiac pathway supervisor at the Hail Health Cluster, Dr. Nayef Alghasb, with the participation of a specialized Saudi team in interventional heart surgeries.
Dr. Alghasb stated: "Thanks to God, we have successfully implanted the first pulmonary valve in the northern regions to treat pulmonary valve stenosis and regurgitation. This step represents a qualitative leap in the success of the health cluster in caring for patients with structural heart defects and valve issues. This development reflects our wise government's commitment to providing distinguished therapeutic services to citizens."
The procedure was carried out with the efforts of a qualified local team in anesthesia, radiology, and interventional nursing, which confirms the capability of Saudi professionals to lead high-precision procedures.
The hospital is working to attract Saudi consultant doctors, especially those from the region, in a step aimed at closing the brain drain gap and bringing back the expertise that has served for years in international reference centers.
This development comes as an extension of the vision supported by the Prince of Hail Region, Prince Abdulaziz bin Saad, aimed at establishing King Salman Specialized Hospital as one of the most prestigious medical institutions in northern Saudi Arabia, by empowering specialized fields, expanding interventional services, and transforming Hail into a regional center for advanced cardiac care.
The procedure was performed using advanced imaging and high-pressure stents to ensure precision and optimal results, further enhancing the status of the heart center as a leading treatment destination for structural heart defects and valve diseases.