أعلنت إدارة الغذاء والدواء الأمريكية منحها موافقة سريعة لأول علاج من نوعه مخصص للبالغين المصابين بسرطان الرئة غير الحرشفي ذي الخلايا غير الصغيرة (NSCLC) المتقدم أو النقيلي، وهو دواء «إمريليس» يستهدف المرضى الذين تلقوا علاجات سابقة ولم يعودوا يستجيبون للعلاجات التقليدية، ما يوفر أملاً جديداً لفئة تعاني من خيارات علاجية محدودة وتوقعات مرضية سيئة.
ووفقاً لموقع «Web MD» وتقارير أخرى، يُعد «إمريليس» أول مضاد حيوي مزدوج يحصل على موافقة الـ FDA لهذه الفئة من المرضى، حيث يعمل على استهداف بروتين c-Met بشكل مباشر لتوصيل جرعة علاجية قوية إلى الخلايا السرطانية، وقد أظهرت تجربة سريرية من المرحلة الثانية، التي دعمت هذه الموافقة معدل استجابة إجمالي بلغ 35% لدى 84 مريضاً يعانون من فرط تعبير عالٍ لـ"c-Met".
يُشار إلى أن هذا الدواء، الذي طورته شركة أمريكية، يخضع حالياً لتجربة عالمية من المرحلة الثالثة لتأكيد فعاليته وسلامته، مع استمرار التسجيل في المواقع السريرية العالمية. ويُعد هذا الإنجاز خطوة كبيرة في مجال الطب الدقيق، حيث يُبرز أهمية العلاجات الموجهة القائمة على العلامات الحيوية لتحسين نتائج المرضى.
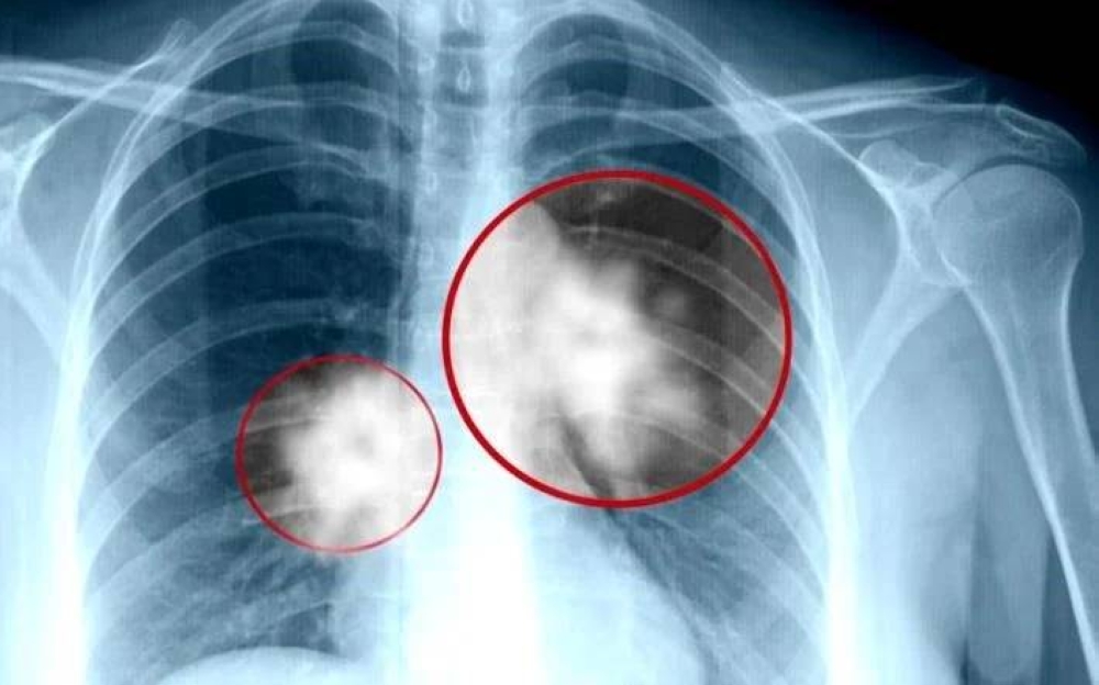
ويُشكل سرطان الرئة ذو الخلايا غير الصغيرة نحو 85% من إجمالي حالات سرطان الرئة، وهو السبب الرئيسي للوفيات المرتبطة بالسرطان عالمياً، وينقسم NSCLC إلى 3 أنواع رئيسية: الأدينوكارسينوما (الأكثر شيوعاً)، وسرطان الخلايا الحرشفية، وسرطان الخلايا الكبيرة. ويُصنف NSCLC المتقدم على أنه سرطان انتشر إلى أجزاء قريبة من الرئتين (محلي متقدم) أو إلى أعضاء أخرى (نقيلي)، ما يجعل العلاج أكثر تعقيداً ويقلل من فرص الشفاء.
ويُعتبر بروتين c-Met، وهو مستقبل تيروزين كيناز، محركاً أنكوجينياً رئيسياً في نحو 25% من مرضى NSCLC غير الحرشفي المتقدم من النوع البري، حيث يرتبط فرط تعبيره بتوقعات سيئة، ويُعرف فرط التعبير العالي بأن 50% من الخلايا السرطانية تُظهر تلطيخاً قوياً (3+) عبر اختبار المناعة الكيميائية (IHC)، ويُساهم هذا البروتين في تعزيز نمو الخلايا السرطانية وانتشارها، ما يجعله هدفاً علاجياً واعداً.
على الرغم من التقدم في العلاجات الموجهة والمناعية يظل مرضى NSCLC المتقدم، خصوصاً أولئك الذين فشلوا في الاستجابة للعلاجات التقليدية مثل العلاج الكيميائي أو مثبطات EGFR، يواجهون خيارات محدودة. تاريخياً، كانت معدلات البقاء على قيد الحياة منخفضة، حيث لا تتجاوز نسبة البقاء لخمس سنوات 20% للمرضى ذوي الطفرات الشائعة، وتقل عن ذلك لدى المصابين بفرط تعبير c-Met.
وشهدت العقود الأخيرة تحولاً نحو العلاجات القائمة على العلامات الحيوية، حيث تُستخدم اختبارات الجينوم والمناعة لتحديد الطفرات القابلة للاستهداف. ويُعد «إمريليس» مثالاً لهذا النهج، حيث يستهدف خلايا السرطان بدقة مع تقليل الضرر على الأنسجة السليمة، ما يُحسن الفعالية ويُقلل الآثار الجانبية مقارنة بالعلاجات التقليدية.
ويُصيب سرطان الرئة ملايين الأشخاص سنوياً، ويُعد تحدياً صحياً عالمياً بسبب ارتباطه الوثيق بالتدخين، إضافة إلى عوامل أخرى مثل التلوث البيئي. ويُعاني المرضى في المراحل المتقدمة من أعراض شديدة، مثل: السعال المزمن، ضيق التنفس، وفقدان الوزن، ما يؤثر على جودة حياتهم.
The U.S. Food and Drug Administration (FDA) has announced its fast-track approval of the first treatment of its kind for adults with advanced or metastatic non-small cell lung cancer (NSCLC), a drug called "Amrilis" that targets patients who have received prior treatments and are no longer responding to conventional therapies, providing new hope for a group facing limited treatment options and poor prognoses.
According to "Web MD" and other reports, "Amrilis" is the first dual antibiotic to receive FDA approval for this patient group, as it directly targets the c-Met protein to deliver a potent therapeutic dose to cancer cells. A phase II clinical trial supporting this approval showed an overall response rate of 35% among 84 patients with high c-Met overexpression.
This drug, developed by an American company, is currently undergoing a global phase III trial to confirm its efficacy and safety, with enrollment continuing at global clinical sites. This achievement represents a significant step in the field of precision medicine, highlighting the importance of biomarker-driven targeted therapies to improve patient outcomes.
Non-small cell lung cancer accounts for approximately 85% of all lung cancer cases and is the leading cause of cancer-related deaths worldwide. NSCLC is divided into three main types: adenocarcinoma (the most common), squamous cell carcinoma, and large cell carcinoma. Advanced NSCLC is classified as cancer that has spread to nearby parts of the lungs (locally advanced) or to other organs (metastatic), making treatment more complex and reducing chances of recovery.
The c-Met protein, a tyrosine kinase receptor, is a major oncogenic driver in about 25% of patients with advanced non-squamous NSCLC of the wild type, where its overexpression is associated with poor prognoses. High overexpression is defined as 50% of cancer cells showing strong staining (3+) through immunohistochemistry (IHC), and this protein contributes to the growth and spread of cancer cells, making it a promising therapeutic target.
Despite advances in targeted and immunotherapies, patients with advanced NSCLC, particularly those who have failed to respond to conventional treatments such as chemotherapy or EGFR inhibitors, face limited options. Historically, survival rates have been low, with five-year survival rates not exceeding 20% for patients with common mutations, and even lower for those with c-Met overexpression.
In recent decades, there has been a shift towards biomarker-driven therapies, using genomic and immunological testing to identify targetable mutations. "Amrilis" exemplifies this approach, as it precisely targets cancer cells while minimizing damage to healthy tissues, improving efficacy and reducing side effects compared to conventional treatments.
Lung cancer affects millions of people annually and poses a global health challenge due to its close association with smoking, along with other factors such as environmental pollution. Patients in advanced stages suffer from severe symptoms, such as chronic cough, shortness of breath, and weight loss, which significantly impact their quality of life.