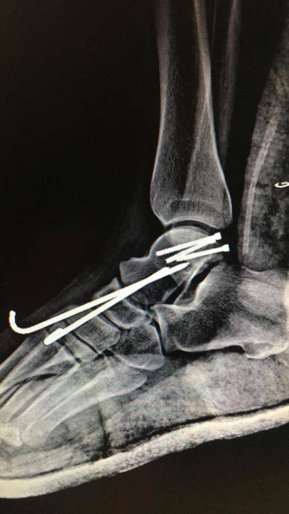
تمكن فريق طبي بمستشفى القريات العام من إنقاذ شاب سقط من «سطح منزله» نتج عنه كسر مع خلع في مفاصل القدم.
وأوضحت صحة القريات أن الفريق الطبي أجرى ردا إسعافيا للكسر مع التثبيت بأسياخ خاصة لمثل هذا النوع من الكسور، وفي مرحلة ثانية تم إجراء تثبيت للكسر ببراغي خاصة للعظام المفصلية، وتحسنت حالة المريض بعد العملية، ويخضع المريض حالياً لبرنامج علاج طبيعي وتأهيلي مكثف سيمكنه بإذن الله من استعادة الحركة.
وتأتي هذه الخطوات تماشياً مع الجهود التي تقوم بها الصحة لتحقيق أحد أهدافها في برنامج التحول الوطني 2020 وهو تحسين الرعاية الصحية المقدمة قبل التنويم والرعاية المقدمة في المستشفيات الرئيسة (الطوارئ والعناية المركزة)، حيث يرتبط هذا الهدف بأحد أهداف رؤية 2030، وهو تحسين جودة الخدمات الصحية بشقيها الوقائي والعلاجي.
«صحة القريات»: نجاح جراحة لتثبيت خلع في مفصل القدم لشاب
27 فبراير 2019 - 13:25
|
آخر تحديث 27 فبراير 2019 - 13:29
تابع قناة عكاظ على الواتساب
عبدالعزيز المشيطي (القريات) Abdulaziz010100@
