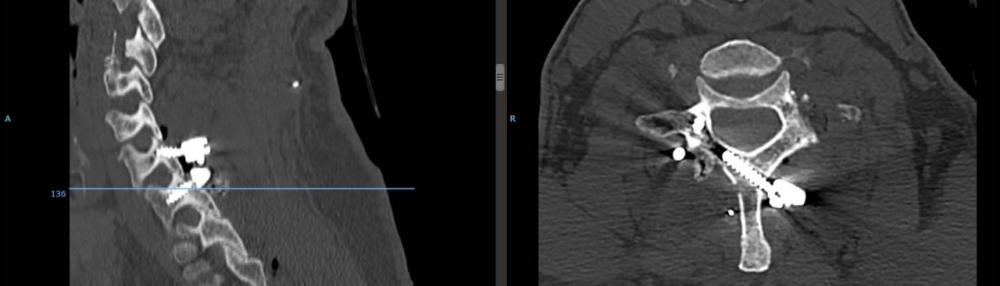
نجحت مدينة الملك سعود الطبية بالرياض ممثلة بجراحة العمود الفقري، في إجراء عملية نادرة لسبعيني، من خلال فريق طبي متخصص في تثبيت فقرتين للعمود الفقري جراء انزلاق بالفقرات، نتيجة تعرضه لحادث مروري.

وأوضحت المدينة أن المريض كان يشكو من آلام في الرقبة مصحوبة بخدران وتنميل وضعف في عضلات اليد اليسرى، مشيرة إلى أن الفريق الطبي بقيادة استشاري العمود الفقري الدكتور معتصم عبيدات، أجرى عملية جراحية لإرجاع الانزلاق في الفقرات وتثبيت الفقرتين من الخلف باستخدام البراغي والقضبان المعدنية وهي تقنية حديثة ومميزة بتثبيت الفقرة السابعة، حيث تم وضع أحد البراغي في الصفيحة العظمية.

ونوهت المدينة إلى أن العملية تكللت بالنجاح، وغادر المريض المستشفى بعد يومين من إجراء العملية وهو بحالة صحية جيدة.

يذكر أن مدينة الملك سعود الطبية لها سجل بارز في مجال جراحات العمود الفقري، وتُعد مرجعاً في التعامل مع مثل هذه الحالات.