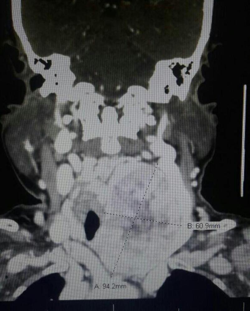
نجح فريق طبي من قسم الجراحة العامة بمستشفى الملك خالد بنجران بإنهاء معاناة سيدة تبلغ من العمر 82 عاما من ورمِ كبير غير حميد في الرقبة ممتد إلى تجويف الصدر، أدى إلى ازاحة القصبة الهوائية إلى الجهة اليمنى، مما أدى الى صعوبة في التنفس والشعور بالاختناق مع تغير في الصوت وصعوبة في البلع.
وأوضحت "الصحة" أنه بعد استكمال الاجراءات الطبية لمثل تلك الحالات ومعاينتها من قبل جميع التخصصات المعنية، ومناقشة الحالة من قبل الفريق الطبي المكون من الجراحة العامة وجراحة الصدر والأورام والتخدير والأشعة، لتحديد مدى امكانية اجراء التدخل الجراحي من عدمه، خاصة وأن المريضة كبيرة في العمر وتعاني من أمراض مزمنة، وتم الاتفاق على العمل الجراحي مع أخذ جميع الاحتياطات، واجريت العملية بكل نجاح ولله الحمد، وتم استئصال الورم كاملاً دون مضاعفات. وأبانت "الصحة" ان المريضة تلقت الرعاية الطبية في قسم التنويم لمدة أربعة أيام بعد العملية وغادرت المستشفى وهي بحالة صحية مستقرة.
نجران: نجاح استئصال ورم لامرأه تعاني من صعوبة البلع والتنفس
9 أغسطس 2017 - 15:51
|
آخر تحديث 9 أغسطس 2017 - 15:51
تابع قناة عكاظ على الواتساب
احمد فراج (نجران) ahmadfarraj522@