نجح الفريق الطبي الجراحي في مركز أمراض وجراحة القلب بالمدينة المنورة في استئصال ورم نادر من قلب مواطن في العقد الرابع من عمره.
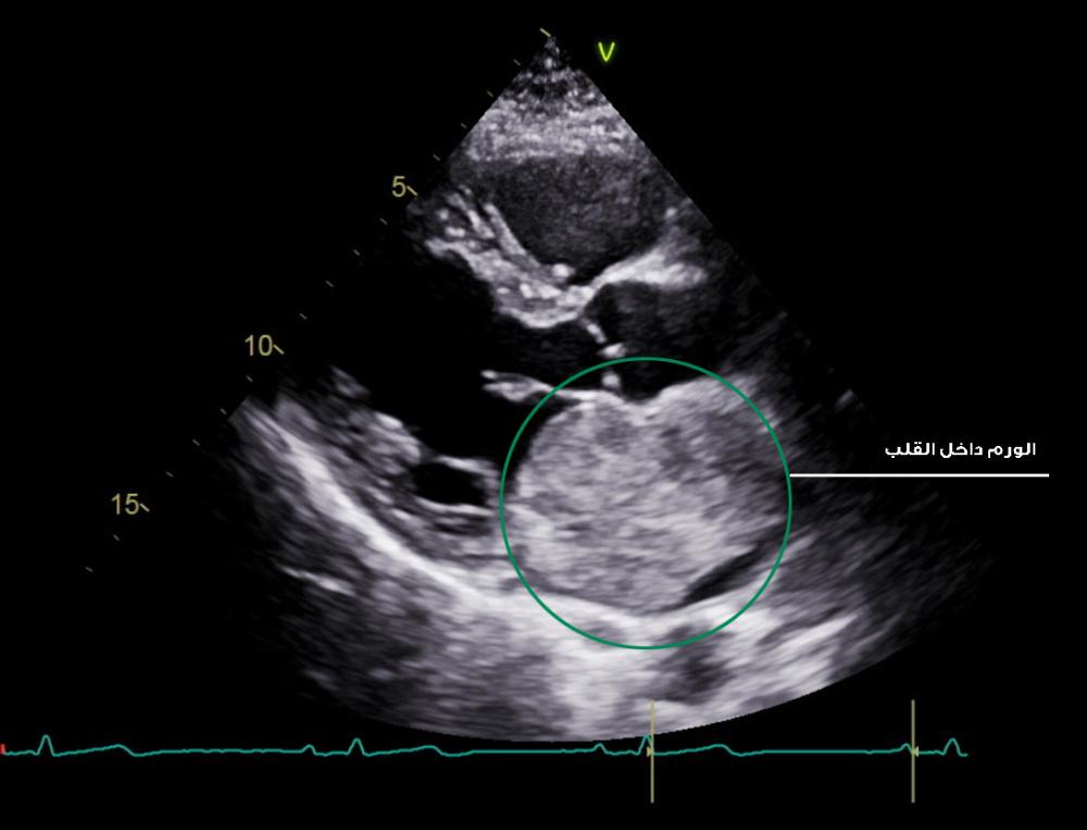
وأوضح مدير عام المركز الدكتور إبراهيم الصبحي، أنه تم استقبال المريض البالغ من العمر 48 عاماً عبر نظام «إحالتي» من منطقة تبوك وهو يعاني ضيقًا في التنفس، وهبوطًا في ضغط الدم، وعند إجراء فحص القلب بالموجات فوق الصوتية وعمل قسطرة للشرايين التاجية تبين وجود كتلة كبيرة الحجم داخل الأذين الأيسر ملتصقة بالحاجز الفاصل بين الاذين الأيسر والأيمن.
وعلى الفور تطلبت حالته التدخل الجراحي السريع للحفاظ على حياته وتفاديًا للمضاعفات التي يمكن أن تنجم عن هذه الكتلة تم إدخاله لغرفة العمليات واستأصل الورم بنجاح الذي بلغ حجمه بـ(7 سم x 5 سم ) تقريباً.
ووفقًا للفريق الجراحي أن خطورة هذا الورم تكمن في كبر حجمه مما يعيق سريان الدم داخل القلب بشكل طبيعي ويؤدي إلى الوفاة المفاجئة، إضافة إلى احتمالية تعرض المريض لجلطات الدماغ نتيجة انتقال أجزاء صغيرة من الورم ووصولها إلى الدماغ؛ مما يعرّض المريض إلى الغيبوبة الدائمة أو الشلل، كما أن المريض تماثل للشفاء وخرج من المركز وهو بصحة جيدة.
وتعد هذه العملية من العمليات النادرة حيث إن هذه الأورام الحميدة تصيب كل 20 شخصًا من بين 100 ألف على مستوى العالم وتقدر بنسبة 0.02 في المائة عالميًا.
وعبّر مدير عام مركز أمراض وجراحة القلب بالمدينة الدكتور إبراهيم الصبحي، عن خالص الشكر والتقدير لحكومة خادم الحرمين الشريفين الملك سلمان بن عبدالعزيز، على تسخير الجهود كافة، وتوفير العلاج للمواطنين، ثم للطاقم الطبي والفني المشارك في هذه العملية المعقدة وشديدة الخطورة التي لا تجرى إلا في مراكز متقدمة كمركز أمراض وجراحة القلب بالمدينة المنوّرة, مشيراً إلى أن المركز أجرى ما يزيد على (2106) عملية قلب مفتوح وأكثر من (30508) إجراءً تداخلياً في معمل القسطرة قلبية للكبار وأكثر من (904) إجراءً تداخلياً في معمل القسطرة للأطفال منذ افتتاح المركز.
