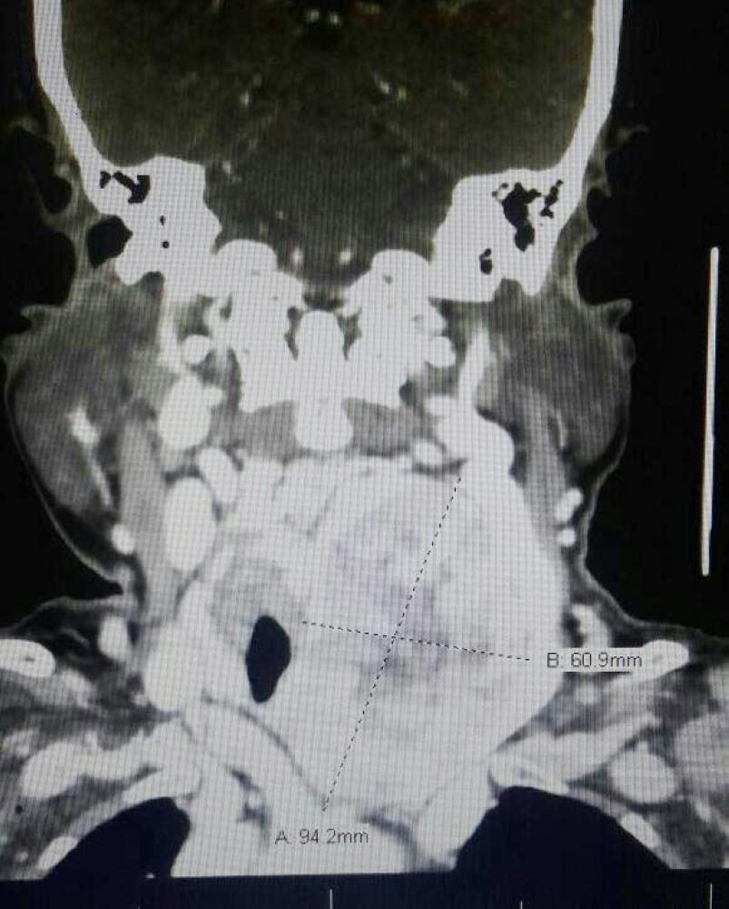
أنهى فريق طبي من قسم الجراحة العامة بمستشفى الملك خالد بنجران، معاناة مريضة (82 عاما)، بتدخل جراحي باستئصال ورم كبير غير حميد في الرقبة ممتد إلى تجويف الصدر أزاح القصبة الهوائية إلى الجهة اليمنى، ما أدى إلى صعوبة التنفس والشعور بالاختناق مع تغير في الصوت وصعوبة في البلع.
وأوضحت الشؤون الصحية بالمنطقة، أنه بعد استكمال الإجراءات الطبية قرر الفريق الجراحي إجراء العملية، رغم أن المريضة كبيرة سنا وتعاني من أمراض مزمنة.
نجران: استئصال ورم لمسنة
10 أغسطس 2017 - 02:06
|
آخر تحديث 10 أغسطس 2017 - 02:06
ورم المسنة في صورة الأشعة. (عكاظ)
تابع قناة عكاظ على الواتساب
أحمد فراج (نجران) ahmadfarraj522@


