أنهى فريق طبي بمركز أم القرى للقلب في مستشفى الولادة والأطفال بمكة المكرمة، معاناة طفل يبلغ سبعة أشهر لديه صعوبة في التنفس نتيجة زيادة السوائل المتدفقة إلى الرئتين وتمدد الأُذين والبُطين وتضخم في الكبد.
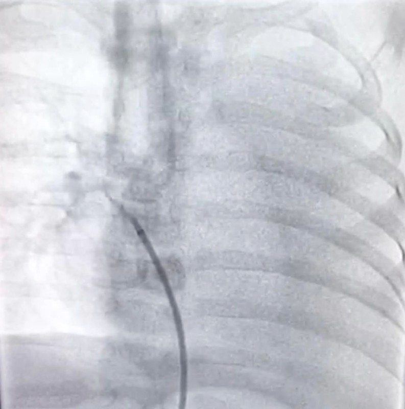
وأوضح مدير المركز الدكتور خالد أمين العطاس، أن الطفل أعطي أدوية لعلاج السوائل، ثم فحصه بجهاز أشعة القلب «إيكو»، واكتشف وجود شريان زايد يأتي من الشريان الأورطي النازل إلى الأُذين الأيسر في القلب، وهذه القناة تعتبر من القنوات النادرة جداً أن يكون مصب الدم من الأورطة مباشرة إلى الجهة اليسرى من القلب مباشرة، مشيراً إلى قسطرة تشخيصية عملت للطفل لمحاولة إقفال القناة بجهاز خاص وتكللت العملية بالنجاح.
إنهاء معاناة طفل الأشهر الـ 7 من الشريان الزائد
21 أكتوبر 2021 - 00:47
|
آخر تحديث 21 أكتوبر 2021 - 00:47
أثناء إجراء العملية.
تابع قناة عكاظ على الواتساب
عبدالله الدهاس (مكة المكرمة) aldhass@
